WHAT WE DO

Services

 
Wallpaper - Med Blue -3.png
 

Wide Range of Services

From routine cleanings and fillings to dental implants, Hampton Dentistry is equipped to handle all your dental needs. To help you understand your options, we've included descriptions of some of our leading services on this page.

  • Professional Cleanings

  • In Office/Take Home Whitening

  • Composite Bonded Fillings

  • Crowns and Bridges

  • Root Canal Therapy

  • Complete and Partial Dentures

  • Dental Implants

  • Cosmetic Veneers

  • Extractions

  • Scaling and Root Planing

  • Sealants


iStock-532170854.jpg

Initial Oral Examination

The American Dental Association (ADA) recommends that patients visit their general dentist at least once every six month for professional cleanings and oral examinations that can identify early signs of tooth decay, gum disease, and oral cancer.  Early detection of dental decay and gum disease is key in preventing development of serious dental problems that may turn into a dental emergency and requires more extensive and costly treatment.

At Hampton Dentistry, your initial oral examination includes a visual examination, oral cancer screening, periodontal probing, diagnosis and treatment recommendations. We will also take a series of x-rays, which allow us to detect any problems affecting the roots of the teeth or diagnose decay between the teeth.  We take pride in educating our patients on necessary diet modifications and at home care to improve their oral health!


DSC_0227BriHygiene2-r1.jpg

Professional Cleaning

Even if you take great care of your teeth at home, you still have bacteria in your mouth. They mix with proteins and food byproducts to form a sticky film called dental plaque. This gunk coats your teeth, gets under your gum line, and sticks to fillings or other dental work. Plaque carries bacteria that can damage tooth enamel and lead to cavities. But if you remove plaque regularly, you can prevent permanent tooth decay and gum disease.  If plaque stays on your teeth for long periods of time it hardens into calculus (tartar).  Calculus can lead to receding gums and cause gum disease like gingivitis and periodontal disease. 

Our gentle and thorough dental hygienists are professionally trained to remove plaque, calculus, and pesky coffee stain to improve your oral health and rejuvenate your smile!




This video demonstrates the progression of periodontal disease, including gingivitis and periodontitis.

Scaling and Root Planing

If your hands bled when you washed them, you would be concerned. Yet, many people think it's normal if their gums bleed when they brush or floss. In a 1999 study, researchers at the U.S. National Institutes of Health (NIH) found that half of Americans over 30 had bleeding gums.

If calculus (tartar) remains on the teeth for a prolonged period of time, gum tissue inflammation (gingivitis) can evolve into bone loss around the root of the tooth (periodontal disease).  This leads to deeper probing depths around the root of the tooth that further traps food and bacteria that cannot be properly maintained by traditional toothbrush and floss. Failure to address loss of gum tissue attachment and bone loss around a tooth will ultimately lead to tooth mobility and subsequent tooth loss.

Our dental hygienists are professionally trained to thoroughly “deep clean” these unhealthy pockets and set you up on a hygiene program to return your gum tissue, tooth and its surrounding bone to a healthy status!


Sealants

The pits and grooves of your teeth are prime areas for opportunistic decay. Sealants act as a barrier to prevent bacteria and food from collecting and sitting on the grooves and pits of teeth. Sealants are best suited for permanent first molars, which erupt around the age of 6, and second molars, which erupt around the age of 12. The application is fast and comfortable and can effectively protect teeth for many years.

Sealants are most effective when applied as soon as the tooth has fully come in. Because of this, children derive the greatest benefit from sealants because of the newness of their teeth. Research has shown that more than 65% of all cavities occur in the narrow pits and grooves of a child`s newly erupted teeth because of trapped food particles and bacteria. Enter fluoridated sealants, which are thin coatings applied to the chewing surfaces designed to prevent the intrusion of bacteria and other debris into the deep crevices on the tops of your teeth.

A 2016 guideline panel convened by the American Academy of Pediatric Dentistry (AAPD) stated:

  • sealants are effective in preventing and arresting pit-and-fissure occlusal caries lesions of primary and permanent molars in children and adolescents compared to the non-use of sealants or use of fluoride varnishes; and

  • sealants can minimize the progression of non-cavitated occlusal caries lesions (also referred to as initial lesions) of the tooth that received the sealant.

Sealants.jpg

Opalescence Boost is a whitening product your dentist applies to your teeth in the dental office. Unlike other in-office whitening products, Opalescence Boost does not require a light for activation, so your procedure occurs with less sensitivity, heat, and tooth color rebound.

Whitening

More and more people today are choosing tooth-whitening procedures to reverse the effects of aging and abuse from food and tobacco stains.  At Hampton Dentistry, our whitening protocol combines the instant “wow” factor of in-office whitening Opalescence Boost with the long lasting results of take-home whitening Opalescence Go.  Powerful and award winning, Opalescence whitening has proven effective at creating beautiful, long-lasting results.

Because restorative materials will not whiten, we recommend that teeth are whitened prior to placing esthetic restorations. Bleaching problematic teeth to a more natural shade will optimize restorative shade matching.


 


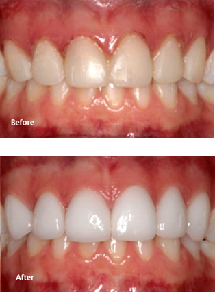
Composite Bonded Fillings

At Hampton Dentistry, we use tooth-colored, bonded composite resin materials in all our fillings. Whether you have a cavity, broken amalgam filling, or a chipped tooth, you can count on our esthetic metal free restorations matching the shade of your natural teeth. Using a white filling material is not just about esthetics; it is also about conserving your tooth structure. Because these “white fillings” are bonded to the tooth surface, less removal of tooth structure is needed to place them, which in returns results in stronger teeth and less sensitivity. These aesthetic restorations help to provide good durability and prevent further damage. Tooth colored fillings are mercury free, and once applied to the tooth, are virtually unnoticeable. 

Composite Bonded.png

Root Canal Therapy

Some indications of the need for root canal treatment may be:

  • Spontaneous pain or throbbing while biting.

  • Prolonged sensitivity to hot and cold foods.

  • Severe decay or an injury that creates an abscess (infection) in the bone.

  • Elective root canal with a post and core to aid in a tooth’s restorability

Root Canal Therapy involves cleaning, shaping, and filling the root(s) of a tooth to remove the damaged blood and nerve supply.  Don’t let a root canals scare you! They are generally painless with adequate local anesthesia, and usually provide immediate relief.

After a root canal treatment, the tooth loses all of its hydration and becomes very brittle. This makes a tooth more prone to fracture especially if the tooth is a premolar or molar where most of the biting forces are concentrated. For this reason, we recommend a crown to protect teeth that have undergone root canal treatment.


Crowns

A crown is a cover or “cap” your dentist can put over a tooth. The crown restores the tooth to its normal shape, size, and function. A crown can make the tooth stronger or improve the way it looks.  

Reasons you may need a crown:

• You have a cavity that is too large for a filling

• You have a tooth that is cracked, worn down, or otherwise weakened

• You have had root canal treatment — the crown will protect the restored tooth

• You want to cover a discolored or badly shaped tooth and improve your smile

Zirconia crowns are often indicated on back teeth and for patients who clinch, grind, or have extremely strong chewing forces. If you chew ice despite your dentist’s recommendation or constantly chip teeth or fillings, Zirconia is the material of choice for you. For these demanding situations, Zirconia provides a durable, more esthetic alternative to previously used metal or cast gold crowns. Zirconia crowns match your natural dentition AND boast almost ten times the strength of previous porcelains. It also is advantageous to use in patients who have limited space and short clinical crowns on their back molars.

Watch the hammer test below to see why they call Zirconia “unbreakable”!

BruxZir® has been called "chip-proof," "bullet-proof," and "virtually unbreakable." Never satisfied, we decided to up the ante by pitting it against a traditional PFM in a less conventional test we dubbed... the Hammer Test. You'll be impressed by the esthetics of BruxZir Solid Zirconia when prescribed instead of metal occlusal PFM's and full-cast metal restorations.

Veneers 2.png

Veneers and Esthetic Crowns

Porcelain veneers are the fastest and easiest way to rejuvenate your smile, and with e.max porcelain, your dentist is sure to create a smile makeover that your friends will notice. E.max is a lithium disilicate porcelain that combines strength and beauty and requires just a minimal amount of tooth reduction. After preparation of your teeth, thin shells of porcelain are fabricated to the ideal length, contour, and degree of whiteness customized to your smile and preferences. After trying them in, the e.max porcelain veneers are then permanently bonded to the front enamel of your tooth surface. Veneers are a great option for patients who have discolored teeth that won’t whiten with traditional bleaching methods as well as patients with poorly shaped, chipped or worn teeth.   


Tooth Extractions

Many times, when a tooth has been broken or damaged by a cavity it can be fixed with a filling, crown or root canal. If the damage is so extensive that the tooth cannot be repaired, then an extraction may be required.  

Before your extraction, your doctor will carefully review your medical history and go over treatment options to replace your missing tooth. These treatment options may include a socket preservation bone graft, dental implant, fixed partial bridge, or a removable partial denture. He will also take necessary x-rays that will show the relationship of your teeth to the sinuses, nerves and other structures within your mouth.

After the extraction, your doctor will send you home with post-op instructions and procedure specific medications to ensure you are comfortable and have minimal discomfort.


Extraction.png

Dental Implants

Losing one or more of your teeth creates a gap in your smile, affects your ability to chew properly, and can alter your diet and nutrition.  Dental implants are an artificial root replacement that serves to replace a missing or failed natural tooth. Dental implants are placed in healthy bone in what is a relatively pain-free procedure.  Once integrated in the bone (usually 3-6 months), a custom abutment and crown can be made that matches your existing teeth.  Dental implants look and feel natural, and restore your full chewing ability without compromising adjacent natural teeth! They also can provide permanent support for denture retention and stability.

To determine if you are a good candidate for dental implants, the dentist will take x-rays and do a thorough exam to determine the quality and quantity of bone where the implant will be placed.  Occasionally, a bone or gum tissue graft will be necessary to create adequate space for the implants. Although implants have a very high success rate, certain uncontrolled medical conditions may decrease implant success so be sure discuss your medical health with your dentist.  Call our office to discuss if you are a good candidate for dental implants!


Bridges.jpg

Bridges

When a dental implant is not a viable option to replace a missing tooth, a bridge is a great alternative treatment option.  The natural tooth on each side of the tooth is prepared, or “prepped,” for an abutment crown. A fake tooth, or pontic, ties the two crowns together to create a bridge that is permanently cemented to the natural teeth. Usually made of zirconia and porcelain, dental bridges look and feel like natural teeth.

By restoring a missing tooth with a bridge, you can prevent your teeth from shifting and your bite from collapsing.  Our dental team will go over specific oral hygiene instructions to help you keep your new bridge clean! 


 Complete and Partial Dentures

Removable partial dentures are an economical way to replace multiple missing or compromised teeth, improve your chewing efficacy, and restore you smile and confidence!  Working closely with the dental lab, your dentist will design a strong metal framework that is customized to your mouth and your smile. Denture teeth will then be added that complement the shape and shade of your adjacent teeth.  Although removable, partial dentures get excellent retention and stability from clasps that go around your natural teeth.

Flexible partials are a metal-free alternative to traditional metal framework partial dentures.  They are thin, lightweight, and flexible with invisible clasps that surround the natural teeth. Flexible partials are a quality premium product that offer the benefits of superior esthetics, comfort, function and bio-compatibility.

Complete dentures may be indicated if you have many compromised teeth.  Prior to your surgery date to remove your teeth, an immediate complete denture will be fabricated so that you have dentures to wear home the date of your surgery.  These immediate dentures will serve as “healing dentures” over the next six months. As your extraction sites heal, the bone and gum tissue will shrink and your dentist will need to reline your denture to aid in comfort and retention.  After six months of healing, your dentist will fabricate a new custom set of complete dentures that will provide the best retention and esthetics.

By matching each individual’s unique smile and bite, dentures can improve facial appearance and self-confidence.   Both upper and lower dentures rest on the gum tissue, and suction helps to keep them in place.  A small amount of denture adhesive can also help secure your dentures and stop any food particles from causing discomfort, which can happen if they become trapped under the denture.

It may take a little time to get used to your dentures, but by talking to your dentist, they’ll be able to advise on what to expect and help put your mind at ease.  Eating and speaking with your dentures may be a little difficult at first but rest assured, with a little practice, you’ll be back to your normal self in no time.  Our team is here to help you through this transition!

Overdenture.jpg

Implant Overdenture 

When additional retention is needed, implant overdentures provide enhanced stability.  Complete dentures with implant support provide significantly greater chewing efficiency which  leads to a more confident denture wearing patient.